Der Neuropsychologe und Forscher Ángel Martínez Nogueras erklärt in diesem Artikel die Malformation von Chiari Typ I und stellt einen klinischen Fall vor.
Bevor ich den heutigen klinischen Fall vorstelle, beschreibe ich kurz, worum es bei der Malformation von Chiari geht.
Was ist die Malformation von Chiari?
Es handelt sich um eine Fehlbildung, die auf eine unvollständige Entwicklung des posteroinferioren Teils der Schädelbasis während der Embryonalperiode zurückzuführen ist und mit Komplikationen wie Syringomyelie und Hydrozephalus einhergehen kann.
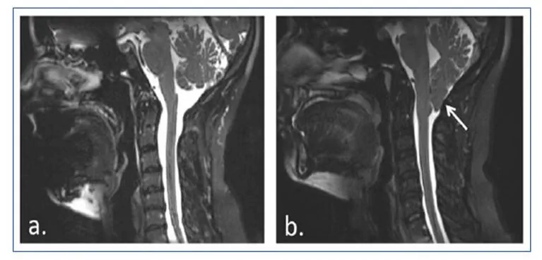
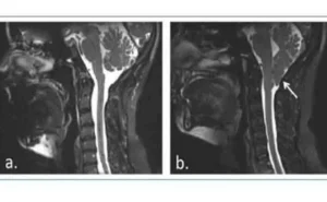
Die extremste Form besteht in der Herniation von Strukturen des untersten Teils des Kleinhirns, der Kleinhirnmandeln und des Hirnstamms durch das Foramen magnum, sodass Teile des Gehirns in den Spinalkanal gelangen und diesen verdicken und komprimieren.
Malformation von Chiari Typ I
Die Malformation von Chiari lässt sich in 5 verschiedene Typen einteilen, wobei Typ I am häufigsten vorkommt (1).
Die Malformation von Chiari Typ I beinhaltet eine kaudale Herniation der Kleinhirnmandeln von etwa 5 mm unter das Foramen magnum, die normalerweise nicht mit einem Abstieg des Hirnstamms oder des vierten Ventrikels oder mit Hydrozephalus einhergeht, wohl aber mit Syringomyelie.
Die Syringomyelie entsteht durch die Bildung von Hohlräumen oder Zysten (Syrinx) gefüllt mit Flüssigkeit im Rückenmark, die sich langsam ausdehnen können, was zu fortschreitenden Schäden am Rückenmark und zu intrakranieller Hypertonie aufgrund des Drucks dieser Flüssigkeit führt.

Symptome der Malformation von Chiari
Die mit der Malformation von Chiari verbundenen Symptome können sehr zahlreich und vielfältig sein und umfassen motorische Defizite, emotionale, kognitive, sensible, sensorische und dysautonome Störungen.
Um diesen Beitrag nicht zu überfrachten, verweise ich auf die angefügte Bibliographie, in der alle möglichen Symptome und weitere Details zu Chiari nachgelesen werden können. (2,3)

Melden Sie sich
für unseren
Newsletter an
Klinischer Fall einer Malformation von Chiari Typ I
Ein Mädchen mit diagnostizierter Malformation von Chiari Typ I und Syringomyelie, das im Alter von 12 Jahren operativ behandelt wurde.
Nach der Operation kommt sie in ein Zentrum für Neurorehabilitation, um spezialisierte Betreuung zu erhalten. Als wir das Neurorehabilitationsprogramm beginnen, ist sie 13 Jahre alt und besucht die 8. Klasse, mit spezifischem sonderpädagogischem Förderbedarf.
Während des Interviews und der Anamneseerhebung wurden folgende Informationen erfasst:
- Sie erlernt das Sitzen im Alter von 6–7 Monaten.
- Sie lernt das Gehen im Alter von 18–20 Monaten.
- Eine gute Sprachentwicklung.
- Die Familie berichtet, dass sie von Geburt an motorisch – sowohl grob- als auch feinmotorisch – unbeholfen erscheint.
- Sie fällt häufig hin und weist ein instabiles Gangbild auf.
- Manuelle Tätigkeiten wie Zeichnen, Schreiben, Ausmalen, Schnürsenkel binden oder das Auftragen von Zahnpasta auf die Zahnbürste fallen ihr sehr schwer.
- Obwohl die Schule von Anfang an herausfordernd war, ist sie nie sitzengeblieben; sie benötigte jedoch gelegentlich Unterstützung oder Anpassungen, zum Beispiel mehr Zeit für Hausaufgaben und Prüfungen oder Multiple-Choice-Tests wegen ihrer Probleme beim Formulieren und in der Schrift.
- Außerdem berichten sie, dass sie sich sehr leicht ablenken lässt und kontinuierliche Aufsicht benötigt, um jede Aufgabe zu erledigen, wie Ankleiden, Zähneputzen oder das Packen der Schultasche, und sie ist dabei äußerst langsam.
- Sie zeigt weder zu Hause noch in der Schule Verhaltensprobleme, die einer besonderen Erwähnung bedürfen, abgesehen von gelegentlichen Wutausbrüchen.
- Die Eltern stellen jedoch das Vorhandensein von selbstverletzendem Verhalten wie Beißen oder Kratzen bis hin zu Verletzungen fest, das jedoch nur während der Schulzeit auftritt und in den Ferien nachlässt.
- Sie hat Schwierigkeiten, soziale Beziehungen aufzubauen und aufrechtzuerhalten, zeigt manchmal ein zu kindliches Verhalten und Anzeichen einer unangemessenen Unreife für ihr Alter.
Motorische Beurteilung
Die motorische Beurteilung zeigte ein zerebelläres Syndrom mit Gleichgewichtsstörungen, unzureichende Tandemstellung, Kopftremor, Rumpfataxie mit Schwanken, feinen distalen Tremor, Dysmetrie und eine ausgeprägtere dystonische Haltung in der linken Hand.
Neuropsychologische Beurteilung
Bezüglich der neuropsychologischen Beurteilung wurde nach Durchlaufen einer umfassenden Testbatterie festgestellt:
- Das Mädchen war gut orientiert in Zeit, Raum und Person.
- Bezüglich der Aufmerksamkeitsprozesse wurde zwar ein moderates Defizit der anhaltenden und selektiven Aufmerksamkeit beobachtet, hervorzuheben war jedoch die Beeinträchtigung der alternierenden Aufmerksamkeit sowie eine Verlangsamung der Informationsverarbeitungs-Geschwindigkeit.
- Bezüglich der exekutiven Funktionen zeigte sie Defizite in verschiedenen Teilprozessen wie inhibitorischer Kontrolle, kognitiver Flexibilität, Planung sowie Kontrolle und Überwachung zielgerichteten Verhaltens. Schwierigkeiten wurden bei Problemlösung, Entscheidungsfindung und abstraktem Denken festgestellt.
- Sie verfügte über eine adäquate Kapazität für das Kurzzeitgedächtnis, obwohl sich dieses durch Wiederholung des zu merkenden Materials nicht verbesserte, das heißt, ihr Lernvermögen war eingeschränkt.
- Ein Defizit im deklarativen Gedächtnis anterograder Art kurz- und langfristig wurde beobachtet, mit Schwierigkeiten bei Fixierung, Konsolidierung und Kodierung von Informationen sowie Perseverationen im freien Abruf und bei der Wiedererkennung. Teilweise lässt sich diese Gedächtnisleistung durch Defizite in Aufmerksamkeits- und exekutiven Prozessen erklären.
- Im Bereich der Sprache fällt die Schwierigkeit im Leseverständnis auf, verbunden mit einem reduzierten Wortschatz und Defiziten bei der Erarbeitung und Anwendung verbaler Konzepte.
- Schließlich wurden Defizite in visuell-räumlichen Fähigkeiten, ideomotorische, ideatorische und konstruktive Apraxie sowie Schwierigkeiten bei der Durchführung motorischer Sequenzen und der bimanualen Koordination beobachtet.
- Außerdem zeigten sich deutliche Schwierigkeiten im Ausdruck und in der Erkennung von Emotionen sowohl bei sich selbst als auch bei anderen, verbunden mit einem auffälligen Mangel an Empathie und sozialen Fähigkeiten.
Verbesserungen nach einem Jahr neuropsychologischer Rehabilitation
Nach einem Jahr neuropsychologischer Rehabilitation, einmal pro Woche, traten Verbesserungen in allen kognitiven Funktionen auf, insbesondere im Gedächtnis und im Lernvermögen, in denen sie altersentsprechend gute Leistungen erbringt.
Diese Verbesserung zeigte sich in den schulischen Leistungen des Mädchens, das mehr Selbstständigkeit beim Lernen zu Hause gewann und bessere Ergebnisse bei Aufgaben und Prüfungen erzielte.
Können wir die kognitiven Defizite bei Patienten mit Kleinhirnbeteiligung erklären?
Um zum Abschluss zu kommen und diesen klinischen Fall zu kontextualisieren: Können wir die kognitiven Defizite bei Patienten mit Kleinhirnbeteiligung erklären? Selbstverständlich.
Obwohl die Malformation von Chiari weiterhin als klinische Entität gilt, die hauptsächlich mit motorischen Defiziten verläuft, gibt es immer mehr wissenschaftliche Publikationen, die bestätigen, was wir bereits über diese Fehlbildung und jede Erkrankung, die das Kleinhirn betrifft, vermuten: dass sie höchstwahrscheinlich mit kognitiven Defiziten einhergeht (4).
Die verfügbare Literatur dazu ist eindeutig. Das Kleinhirn ist an zahlreichen Prozessen und Funktionen beteiligt, wie Aufmerksamkeit, Lernen, Gedächtnis, exekutiven Funktionen, visuell-räumlichen Fähigkeiten, Sprache sowie affektiver, verhaltensbezogener und sozialer Regulation. Hier eine Reihe von Artikeln, in denen die am Kleinhirn beteiligten Funktionen ausführlich behandelt werden (5,6,7,8,9,10,11,12,13,14,15,16,17,18).
Aber es ist nicht nur so, dass das Kleinhirn an kognitiven Prozessen beteiligt ist; es ist auch Teil funktionaler Hirnnetzwerke, die die wahre Grundlage der Kognition bilden (19). Als Beispiel hier ein Bild aus einem bereits klassischen Artikel von Dosenbach und Mitarbeitern aus dem Jahr 2008 (20), das sehr anschaulich zeigt, wie das Kleinhirn in funktionale Hirnnetzwerke der Aufmerksamkeits- oder Exekutivkontrolle eingebunden ist.

Wir müssen bedenken, dass die in der aktuellen Neurowissenschaft vorherrschende Auffassung, die wir als Neuropsychologen verinnerlichen sollten, besagt, dass das Gehirn auf der Grundlage weitverzweigter, flexibler und an die jeweilige Aufgabe anpassungsfähiger funktionaler Netzwerke arbeitet (21,22), wobei die Schädigung eines Netzwerkbestandteils die Dysfunktion des gesamten Netzwerks auslösen kann (23).
Deshalb und angesichts all dieser Daten sollten wir die traditionelle Vorstellung aufgeben, die uns Defizite voraussagen ließ, die mit einer fokalen Hirnschädigung verbunden sind, und uns unvermeidlich auf einen Wandel der Perspektive in der neuropsychologischen Beurteilung und Rehabilitation zubewegen (24).
Literaturverzeichnis
- Spanische Föderation für Malformationen von Chiari und assoziierte Pathologien. DOSSIER MC (MALFORMATION VON CHIARI). Verfügbar unter: http://www.femacpa.com/index.asp?iden=11
- Konsensdokument. Malformationen der kraniozervikalen Verbindung (Chiari Typ I und Syringomyelie). Verfügbar unter: http://www.sen.es/pdf/2010/Consenso_Chiari_2010.pdf
- Spanische Föderation für Malformationen von Chiari und assoziierte Pathologien. Praktischer Leitfaden. Verfügbar unter: http://www.femacpa.com/ficheros_noticias/boletin.compressed.pdf
- Rogers, J. M., Savage, G., & Stoodley, M. A. (2018). A Systematic Review of Cognition in Chiari I Malformation. Neuropsychology Review, 1–12.
- Baillieux, H., De Smet, H. J., Paquier, P. F., De Deyn, P. P., & Mariën, P. (2008). Cerebellar neurocognition: insights into the bottom of the brain. Clinical neurology and neurosurgery, 110(8), 763–773.
- Kalron, A., Allali, G., & Achiron, A. (2018). Cerebellum and cognition in multiple sclerosis: the fall status matters. Journal of neurology, 265(4), 809–816.
- Baillieux, H., De Smet, H. J., Dobbeleir, A., Paquier, P. F., De Deyn, P. P., & Mariën, P. (2010). Cognitive and affective disturbances following focal cerebellar damage in adults: a neuropsychological and SPECT study. Cortex, 46(7), 869–879.
- Guell, X., Gabrieli, J. D., & Schmahmann, J. D. (2017). Embodied cognition and the cerebellum: perspectives from the dysmetria of thought and the universal cerebellar transform theories. Cortex.
- Van Overwalle, F., Baetens, K., Mariën, P., & Vandekerckhove, M. (2014). Social cognition and the cerebellum: a meta-analysis of over 350 fMRI studies. Neuroimage, 86, 554–572.
- Buckner, R. L. (2013). The cerebellum and cognitive function: 25 years of insight from anatomy and neuroimaging. Neuron, 80(3), 807–815.
- Sokolov, A. A., Miall, R. C., & Ivry, R. B. (2017). The cerebellum: adaptive prediction for movement and cognition. Trends in cognitive sciences, 21(5), 313–332.
- De Smet, H. J., Paquier, P., Verhoeven, J., & Mariën, P. (2013). The cerebellum: its role in language and related cognitive and affective functions. Brain and language, 127(3), 334–342.
- Timmann, D., Drepper, J., Frings, M., Maschke, M., Richter, S., Gerwig, M. E. E. A., & Kolb, F. P. (2010). The human cerebellum contributes to motor, emotional and cognitive associative learning. A review. Cortex, 46(7), 845–857.
- Leggio, M. G., Chiricozzi, F. R., Clausi, S., Tedesco, A. M., & Molinari, M. (2011). The neuropsychological profile of cerebellar damage: the sequencing hypothesis. Cortex, 47(1), 137–144.
- Peterburs, J., & Desmond, J. E. (2016). The role of the human cerebellum in performance monitoring. Current opinion in neurobiology, 40, 38–44.
- Tirapu Ustárroz, J., Luna Lario, P., Iglesias Fernández, M. D., & Hernáez Goñi, P. (2011). Beitrag des Kleinhirns zu kognitiven Prozessen: aktuelle Fortschritte. Rev Neurol, 301–315.
- Hernáez-Goñi, P., Tirapu-Ustárroz, J., Iglesias-Fernández, L., & Luna-Lario, P. (2010). Beteiligung des Kleinhirns an der Regulation von Affekt, Emotion und Verhalten. Revista de Neurología, 51(10), 597–609.
- Van Overwalle, F., & Mariën, P. (2016). Functional connectivity between the cerebrum and cerebellum in social cognition: a multi-study analysis. NeuroImage, 124, 248–255.
- Maestú, F., Quesney-Molina, F., Ortiz-Alonso, T., Campo, P., Fernández-Lucas, A., & Amo, C. (2003). Kognition und neuronale Netzwerke: eine neue Perspektive durch funktionelle Bildgebung. Rev Neurol, 37(10), 962–966.
- Dosenbach, N. U., Fair, D. A., Cohen, A. L., Schlaggar, B. L., & Petersen, S. E. (2008). A dual-networks architecture of top-down control. Trends in cognitive sciences, 12(3), 99–105.
- Pessoa, L. (2017). A network model of the emotional brain. Trends in cognitive sciences, 21(5), 357–371.
- van den Heuvel, M. P., & Pol, H. E. H. (2011). Erkundung des Gehirnnetzwerks: eine Übersicht zur funktionellen Konnektivität bei Ruhezustands-fMRT. Psiquiatría Biológica, 18(1), 28–41.
- Gratton, C., Nomura, E. M., Pérez, F., & D’Esposito, M. (2012). Focal brain lesions to critical locations cause widespread disruption of the modular organization of the brain. Journal of cognitive neuroscience, 24(6), 1275–1285.
- Price, C. J. (2018). The Evolution of Cognitive Models: From Neuropsychology to Neuroimaging and back. Cortex.
Wenn Ihnen dieser Beitrag über die Malformation von Chiari gefallen hat, interessieren Sie sich sicher auch für den folgenden Beitrag:
Dieser Artikel wurde übersetzt; Link zum Originalartikel auf Spanisch:
Malformación de Chiari tipo I. Caso clínico







Schreiben Sie einen Kommentar