Нейропсихолог и исследователь Ángel Martínez Nogueras объясняет в этой статье мальформацию Киари типа I и приводит клинический случай.
Прежде чем переходить к описанию клинического случая, о котором пойдет речь сегодня, я кратко опишу, в чем состоит мальформация Киари.
Что такое мальформация Киари?
Речь идет о мальформации, вызванной неполным развитием задненижней части основания черепа в эмбриональном периоде, которая может сопровождаться такими осложнениями, как сирингомиелия и гидроцефалия.
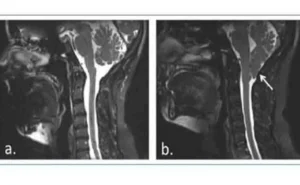
Самая крайняя форма заключается в грыжеобразном выпадении структур наиболее нижней части мозжечка — миндалин мозжечка — и ствола мозга через большое затылочное отверстие, так что некоторые участки головного мозга достигают спинномозгового канала, утолщая и сдавливая его.
Мальформация Киари типа I
Мальформацию Киари можно классифицировать на 5 типов, из которых тип I является наиболее частым (1).
Мальформация Киари типа I подразумевает каудальное выпадение миндалин мозжечка примерно на 5 мм ниже большого затылочного отверстия, которое обычно не сопровождается опущением ствола мозга или четвёртого желудочка и не вызывает гидроцефалии, но связано с сирингомиелией.
Сирингомиелия вызывается образованием полостей или кист (сиринга или syrinx), заполненных жидкостью внутри спинного мозга, которые могут медленно расширяться, вызывая прогрессирующее повреждение спинного мозга и внутричерепную гипертензию из‑за давления, оказываемого этой жидкостью.

Симптомы мальформации Киари
Симптомы, связанные с мальформацией Киари, могут быть очень многочисленными и разнообразными, включая нарушения моторики, эмоциональные, когнитивные, чувствительные, сенсорные и дисавтономические.
Чтобы не растягивать эту запись, отсылаю вас к прилагаемой библиографии, где можно ознакомиться со всеми возможными симптомами и другими деталями по Киари. (2,3)
Клинический случай мальформации Киари типа I
Девочка с диагнозом мальформация Киари типа I, с сирингомиелией, оперированная в 12 лет.
После хирургического вмешательства она обратилась в центр нейрореабилитации для получения специализированной помощи. Когда мы начали программу нейрореабилитации, ей было 13 лет и она училась во 2º ESO, с особыми образовательными потребностями.
Во время интервью и составления анамнеза были собраны следующие данные:
- Достигла положения сидя в 6–7 месяцев.
- Начала ходить в 18–20 месяцев.
- Хорошее овладение речью.
- Семья сообщает, что с рождения они считают её неловкой в моторном плане, как по крупной, так и по мелкой моторике.
- Она часто падает и у неё нестабильная походка.
- Ручные задания, такие как рисование, письмо, раскрашивание, завязывание шнурков или нанесение пасты на зубную щётку, даются ей с большим трудом.
- Хотя в школе у неё с самого начала были трудности, она никогда не оставалась на второй год; тем не менее ей требовалась поддержка или отдельные адаптации, например больше времени на выполнение домашних заданий и экзаменов или проведение некоторых экзаменов в тестовой форме из‑за трудностей в изложении и почерке.
- Также сообщают, что она отвлекается с чрезвычайной лёгкостью и нуждается в постоянном контроле для выполнения любой задачи, такой как одевание, чистка зубов или подготовка школьного рюкзака, и когда выполняет их, делает это чрезвычайно медленно.
- У неё нет поведенческих проблем ни дома, ни в школе, требующих особого упоминания, кроме эпизодических вспышек гнева или капризов.
- Тем не менее родители отмечают наличие самоагрессивного поведения, такого как кусание или расчёсывание до образования ран, но только в учебный период; во время каникул это проходит.
- У неё наблюдаются трудности в создании и поддержании социальных отношений, иногда она ведёт себя слишком инфантильно и демонстрирует признаки некоторой незрелости, не соответствующей её возрасту.
Оценка моторики
Оценка моторики выявила картину поражения мозжечка с нарушением равновесия, неадекватную тандемную походку, цефалический тремор, атаксию туловища с покачиванием, тонкий дистальный тремор, дисметрию и дистоническую позу, более выраженную в левой руке.
Нейропсихологическая оценка
Что касается нейропсихологического обследования, после прохождения обширного набора тестов было выявлено:
- Девочка была хорошо ориентирована во времени, месте и в собственной личности.
- Что касается процессов внимания, хотя наблюдался умеренный дефицит поддерживаемого и избирательного внимания, особенно отмечалось нарушение переключаемого внимания в сочетании с замедлением скорости обработки информации.
- В отношении исполнительных функций имелись дефициты в нескольких подсистемах, таких как ингибиторный контроль, когнитивная гибкость, планирование, а также контроль и супервизия целенаправленного поведения. Отмечались трудности в решении проблем, принятии решений и абстрактном рассуждении.
- У неё была адекватная способность кратковременной памяти, хотя она не улучшалась при повторении материала, то есть её способность к обучению была снижена.
- Наблюдался дефицит декларативной антероградной памяти в краткосрочной и долгосрочной перспективе, с трудностями в фиксации, консолидации и кодировании информации, а также персеверациями при свободном воспоминании и распознавании информации. Отчасти такой результат памяти может объясняться дефицитами в процессах внимания и исполнительных функциях.
- Что касается языка, выделялась трудность в понимании прочитанного, а также ограниченный словарный запас и дефицит в формировании и оперировании вербальными понятиями.
- Наконец, были выявлены дефициты в визо‑пространственных навыках, идеомоторная, идеаторная и конструктивная апраксия, а также трудности при выполнении моторных последовательностей и в бимануальной координации.
- Кроме всего вышеперечисленного, наблюдались явные трудности в выражении и распознавании эмоций как собственных, так и чужих, в сочетании с заметным отсутствием эмпатии и социальных навыков.
Улучшения после года нейропсихологической реабилитации
После года нейропсихологической реабилитации, по одному дню в неделю, произошли улучшения во всех когнитивных функциях, особенно в памяти и обучении, где её показатели соответствуют адекватному уровню для её возраста.
Это улучшение отразилось на школьной успеваемости девочки: она стала более автономной при занятиях дома и повысила свои результаты в заданиях и на экзаменах.
Можем ли мы объяснить когнитивные дефициты у пациентов с поражением мозжечка?
Чтобы подытожить и попытаться осмыслить этот клинический случай: можем ли мы объяснить когнитивные дефициты у пациентов с поражением мозжечка? Конечно.
Хотя мальформация Киари по‑прежнему рассматривается как клиническая сущность, протекающая преимущественно с моторными дефицитами, всё больше научных публикаций подтверждают то, что мы уже предполагали относительно этой мальформации и любой патологии, поражающей мозжечок, а именно — что очень вероятно она будет сопровождаться когнитивными дефицитами (4).
Доступная литература по этому вопросу однозначна. Мозжечок участвует во множестве процессов и функций, таких как внимание, обучение, память, исполнительные функции, визо‑пространственные навыки, язык, а также регуляция аффекта, поведения и социальных взаимодействий. Ниже приведён ряд статей, в которых подробно рассматриваются функции, в которых участвует мозжечок (5,6,7,8,9,10,11,12,13,14,15,16,17,18).
Но дело не только в том, что мозжечок участвует в когнитивных процессах: он входит в состав функциональных мозговых сетей, которые являются истинной опорой когниции (19). В качестве примера привожу изображение из уже классической статьи Дозенбаха и соавторов 2008 года (20), которое наглядно показывает, как мозжечок вписывается в функциональные сети контроля внимания или исполнительного контроля.

Следует иметь в виду, что доминирующее направление современной нейронауки, и то, что мы должны перенести в наше представление как нейропсихологи, заключается в том, что мозг функционирует на основе функциональных сетей, широко распределённых, гибких и адаптивных к выполняемой задаче (21,22), где поражение одного из компонентов может вызвать дисфункцию всей сети (23).
Поэтому, в свете всех этих данных, мы должны оставить традиционное представление, которое заставляло нас предугадывать конкретные дефициты, связанные с очаговым повреждением мозга, и неизбежно перейти к изменению перспективы в нейропсихологической оценке и реабилитации (24).
Библиография
- Испанская федерация мальформации Киари и сопутствующих патологий. DOSSIER MC (MALFORMACION de CHIARI). Доступно по адресу:http://www.femacpa.com/index.asp?iden=11
- Документ консенсуса. Malformaciones de la unión cráneo-cervical (Chiari tipo I y siringomielia). Доступно по адресу:http://www.sen.es/pdf/2010/Consenso_Chiari_2010.pdf
- Испанская федерация мальформации Киари и сопутствующих патологий. Guía práctica.Доступно по адресу:http://www.femacpa.com/ficheros_noticias/boletin.compressed.pdf
- Rogers, J. M., Savage, G., &Stoodley, M. A. (2018). A Systematic Review of Cognition in Chiari I Malformation. Neuropsychology review, 1-12.
- Baillieux, H., De Smet, H. J., Paquier, P. F., De Deyn, P. P., &Mariën, P. (2008). Cerebellar neurocognition: insights into the bottom of the brain. Clinical neurology and neurosurgery, 110(8), 763-773.
- Kalron, A., Allali, G., & Achiron, A. (2018). Cerebellum and cognition in multiple sclerosis: the fall status matters. Journal of neurology, 265(4), 809-816.
- Baillieux, H., De Smet, H. J., Dobbeleir, A., Paquier, P. F., De Deyn, P. P., &Mariën, P. (2010). Cognitive and affective disturbances following focal cerebellar damage in adults: a neuropsychological and SPECT study. Cortex, 46(7), 869-879.
- Guell, X., Gabrieli, J. D., &Schmahmann, J. D. (2017). Embodied cognition and the cerebellum: perspectives from the dysmetria of thought and the universal cerebellar transform theories. Cortex.
- Van Overwalle, F., Baetens, K., Mariën, P., &Vandekerckhove, M. (2014). Social cognition and the cerebellum: a meta-analysis of over 350 fMRI studies. Neuroimage, 86, 554-572.
- Buckner, R. L. (2013). The cerebellum and cognitive function: 25 years of insight from anatomy and neuroimaging. Neuron, 80(3), 807-815.
- Sokolov, A. A., Miall, R. C., &Ivry, R. B. (2017). The cerebellum: adaptive prediction for movement and cognition. Trends in cognitive sciences, 21(5), 313-332.
- De Smet, H. J., Paquier, P., Verhoeven, J., &Mariën, P. (2013). The cerebellum: its role in language and related cognitive and affective functions. Brain and language, 127(3), 334-342.
- Timmann, D., Drepper, J., Frings, M., Maschke, M., Richter, S., Gerwig, M. E. E. A., & Kolb, F. P. (2010). The human cerebellum contributes to motor, emotional and cognitive associative learning. A review. Cortex, 46(7), 845-857.
- Leggio, M. G., Chiricozzi, F. R., Clausi, S., Tedesco, A. M., &Molinari, M. (2011). The neuropsychological profile of cerebellar damage: the sequencing hypothesis. cortex, 47(1), 137-144.
- Peterburs, J., & Desmond, J. E. (2016). The role of the human cerebellum in performance monitoring. Currentopinion in neurobiology, 40, 38-44.
- Tirapu Ustárroz, J., Luna Lario, P., Iglesias Fernández, M. D., & Hernáez Goñi, P. (2011). Contribución del cerebelo a los procesos cognitivos: avances actuales. Rev Neurol, 301-315.
- Hernáez-Goñi, P., Tirapu-Ustárroz, J., Iglesias-Fernández, L., & Luna-Lario, P. (2010). Participación del cerebelo en la regulación del afecto, la emoción y la conducta. Revista de neurología, 51(10), 597-609.
- Van Overwalle, F., &Mariën, P. (2016). Functional connectivity between the cerebrum and cerebellum in social cognition: a multi-study analysis. NeuroImage, 124, 248-255.
- Maestú, F., Quesney-Molina, F., Ortiz-Alonso, T., Campo, P., Fernández-Lucas, A., & Amo, C. (2003). Cognición y redes neurales: una nueva perspectiva desde la neuroimagen funcional. Rev Neurol, 37(10), 962-6.
- Dosenbach, N. U., Fair, D. A., Cohen, A. L., Schlaggar, B. L., & Petersen, S. E. (2008). A dual-networks architecture of top-down control. Trends in cognitive sciences, 12(3), 99-105.
- Pessoa, L. (2017). A network model of the emotional brain. Trends in cognitive sciences, 21(5), 357-371.
- van den Heuvel, M. P., & Pol, H. E. H. (2011). Exploración de la red cerebral: una revisión de la conectividad funcional en la RMf en estado de reposo. Psiquiatría biológica, 18(1), 28-41.
- Gratton, C., Nomura, E. M., Pérez, F., &D’Esposito, M. (2012). Focal brain lesions to critical locations cause widespread disruption of the modular organization of the brain. Journal of cognitive neuroscience, 24(6), 1275-1285.
- Price, C. J. (2018). The Evolution of Cognitive Models: From Neuropsychology to Neuroimaging and back. Cortex.
Если вам понравилась эта статья о мальформации Киари, наверняка вам будет интересно прочитать следующий пост:
«Эта статья была переведена. Ссылка на оригинальную статью на испанском:»
Malformación de Chiari tipo I. Caso clínico








Добавить комментарий