Il neuropsicologo e ricercatore Ángel Martínez Nogueras spiega in questo articolo la Malformazione di Chiari di tipo I e presenta un caso clinico.
Prima di entrare nel caso clinico che presenteremo oggi, descriverò brevemente in cosa consiste la Malformazione di Chiari.
Cos’è la Malformazione di Chiari?
Si tratta di una malformazione dovuta a uno sviluppo incompleto della parte posteroinferiore della base del cranio durante il periodo embrionale, che può accompagnarsi a complicazioni quali siringomielia e idrocefalia.
La forma più estrema consiste nell’erniazione delle strutture della porzione più bassa del cervelletto, le tonsille cerebellari, e del tronco encefalico attraverso il forame magno, in modo tale che alcune parti del cervello raggiungono il canale spinale ispessendolo e comprimendolo.
Malformazione di Chiari di tipo I
La Malformazione di Chiari può essere classificata in 5 tipi diversi, dei quali il tipo I è il più frequente (1).
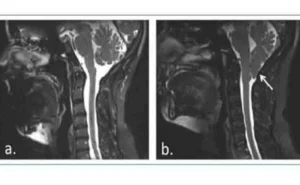
La Malformazione di Chiari di tipo I comporta una erniazione caudale delle tonsille cerebellari di circa 5 mm al di sotto del forame magno, che di solito non si accompagna a discesa del tronco encefalico o del quarto ventricolo né a idrocefalia, ma a siringomielia.
La siringomielia è causata dalla formazione di cavità o cisti (siringe o syrinx) piene di liquido all’interno del midollo spinale, che possono espandersi lentamente, provocando un danno progressivo al midollo spinale e ipertensione intracranica dovuta alla pressione esercitata da tale liquido.

Sintomi della Malformazione di Chiari
I sintomi associati alla malformazione di Chiari possono essere numerosi e vari, includendo deficit motori, emotivi, cognitivi, sensitivi, sensoriali e disautonomici.
Per non dilungarmi eccessivamente in questo articolo, rimando alla bibliografia allegata dove è possibile consultare tutti i possibili sintomi e altri dettagli sulla Chiari (2,3).

Iscriviti
alla nostra
Newsletter
Caso clinico di Malformazione di Chiari di tipo I
Bambina diagnosticata con Malformazione di Chiari di tipo I, con siringomielia, sottoposta a intervento chirurgico a 12 anni di età.
Dopo l’intervento chirurgico si rivolge a un centro di neuroriabilitazione per ricevere assistenza specializzata. Quando iniziamo il programma di neuroriabilitazione ha 13 anni e frequenta la seconda media, con bisogni educativi specifici di supporto.
Durante il colloquio e la raccolta dell’anamnesi sono state raccolte le seguenti informazioni:
- Raggiunge la posizione seduta a 6-7 mesi.
- Inizia a camminare a 18-20 mesi.
- Buona acquisizione del linguaggio.
- La famiglia riferisce che sin dalla nascita la vedono impacciata dal punto di vista motorio, sia grossolano che fine.
- Cade frequentemente e presenta un’andatura instabile.
- Le attività manuali come disegnare, scrivere, colorare, allacciare le stringhe o mettere il dentifricio sullo spazzolino sono per lei molto faticose.
- Nonostante la scuola le abbia presentato difficoltà sin dall’inizio, non ha mai ripetuto l’anno, tuttavia ha necessitato di supporto o adattamenti in situazioni specifiche, come concederle più tempo per svolgere i compiti quotidiani e gli esami, oppure realizzare alcuni test a scelta multipla, a causa delle difficoltà nella stesura e nella grafia.
- Riferiscono inoltre che si distrae con estrema facilità e ha bisogno di supervisione continua per svolgere qualsiasi compito, come vestirsi, lavarsi i denti o preparare lo zaino, e quando li esegue è estremamente lenta.
- Non mostra problemi comportamentali né a casa né a scuola che richiedano una menzione particolare, al di là di momentanei sfoghi di rabbia o capricci.
- Tuttavia, i genitori segnalano la presenza di comportamenti auto-diretti come mordicchiarsi o grattarsi fino a provocarsi ferite, ma solo durante il periodo scolastico; in vacanza scompaiono.
- Presenta difficoltà nel creare e mantenere relazioni sociali, a volte mostra un atteggiamento troppo infantile e segni di una certa immaturità non congrua con la sua età.
Valutazione motoria
La valutazione motoria ha rivelato un quadro cerebellare con squilibrio, tandem inadeguato, tremore cefalico, atassia del tronco con oscillazione, tremore distale fine, dismetria e postura distonica più marcata nella mano sinistra.
Valutazione neuropsicologica
Per quanto riguarda la valutazione neuropsicologica, dopo aver somministrato una batteria completa di test è emerso:
- La bambina era ben orientata in tempo, spazio e persona.
- Per quanto riguarda i processi attentivi, sebbene sia stato osservato un deficit moderato di attenzione sostenuta e selettiva, emergeva la coinvolgimento dell’attenzione alternante, insieme a un rallentamento della velocità di elaborazione delle informazioni.
- Per quanto concerne il funzionamento esecutivo, presentava un deficit in vari sottoprocessi come il controllo inibitorio, flessibilità cognitiva, pianificazione, e controllo e supervisione del comportamento finalizzato a un obiettivo. È stata riscontrata difficoltà nella risoluzione dei problemi, nel prendere decisioni e nel ragionamento astratto.
- Presentava una adeguata capacità di memoria immediata, sebbene questa non migliorasse con la ripetizione del materiale da ricordare, cioè la sua capacità di apprendimento era ridotta.
- È stato osservato un deficit di memoria dichiarativa anterograda a breve e lungo termine, con difficoltà di fissazione, consolidamento e codifica delle informazioni, oltre a perseverazioni nella libera evocazione e nel riconoscimento delle informazioni. In parte, questa prestazione mnestica può essere spiegata da deficit nei processi attentivi ed esecutivi.
- Per quanto riguarda il linguaggio, spicca la difficoltà nella comprensione del testo scritto, insieme a un vocabolario ridotto e a deficit nella formazione e nell’uso di concetti verbali.
- Infine, sono stati osservati deficit nelle abilità visuo-spaziali, aprassia ideomotoria, ideativa e costruttiva, e difficoltà nell’esecuzione di sequenze motorie e nella coordinazione bimanuale.
- Oltre a quanto sopra, sono state riscontrate evidenti difficoltà nell’espressione e nel riconoscimento delle emozioni sia proprie che altrui, insieme a una marcata mancanza di empatia e di abilità sociali.
Miglioramenti dopo un anno di riabilitazione neuropsicologica
Dopo un anno di riabilitazione neuropsicologica, una volta alla settimana, si sono verificati miglioramenti in tutte le funzioni cognitive, soprattutto nella memoria e nell’apprendimento, dove rende a un livello adeguato alla sua età.
Questo miglioramento si è riflesso nel rendimento scolastico della bambina, con un aumento dell’autonomia nello studio a casa e nei risultati in compiti ed esami.
Possiamo spiegare i deficit cognitivi nei pazienti con interessamento del cervelletto?
Per concludere e cercare di dare un senso a questo caso clinico, possiamo spiegare i deficit cognitivi nei pazienti con interessamento del cervelletto? Certo che sì.
Anche se la Malformazione di Chiari è ancora considerata un’entità clinica che si manifesta principalmente con deficit motori, sempre più pubblicazioni scientifiche confermano ciò che già sospettavamo riguardo a questa malformazione, e a qualsiasi patologia che interessi il cervelletto, ovvero che molto probabilmente si manifesterà con deficit cognitivi (4).
La bibliografia disponibile in merito è chiara. Il cervelletto partecipa a molteplici processi e funzioni come attenzione, apprendimento, memoria, funzioni esecutive, abilità visuo-spaziali, linguaggio, e regolazione affettiva, comportamentale e sociale. Di seguito trovate una serie di articoli in cui è possibile esplorare ampiamente le funzioni a cui partecipa il cervelletto (5,6,7,8,9,10,11,12,13,14,15,16,17,18).
Ma non solo il cervelletto partecipa a processi cognitivi, bensì fa parte di reti cerebrali funzionali, che sono il vero sostegno della cognizione (19). A titolo esemplificativo, qui trovate un’immagine tratta da un articolo ormai classico di Dosenbach e collaboratori del 2008 (20), che mostra in modo molto didattico come il cervelletto si inserisca nelle reti cerebrali funzionali di controllo attentivo o esecutivo.

Dobbiamo tenere presente che la corrente dominante nella neuroscienza odierna, e che dovremmo consolidare nel nostro pensiero di neuropsicologi, è che il cervello funziona basandosi su reti funzionali ampiamente distribuite, flessibili e adattabili al compito in corso (21,22), in cui il danno a uno dei suoi componenti può innescare la disfunzione dell’intera rete (23).
Pertanto, alla luce di tutti questi dati, dobbiamo abbandonare la nozione tradizionale che prevedeva deficit specifici associati a un danno cerebrale focale e orientarci, inevitabilmente, verso un cambiamento di prospettiva nella valutazione e nella riabilitazione neuropsicologica (24).
Bibliografia
- Federazione Spagnola per la Malformazione di Chiari e Patologie Associate. DOSSIER MC (MALFORMAZIONE DI CHIARI). Disponibile su:http://www.femacpa.com/index.asp?iden=11
- Documento di consenso. Malformazioni dell’unione cranio-cervicale (Chiari tipo I e siringomielia). Disponibile su:http://www.sen.es/pdf/2010/Consenso_Chiari_2010.pdf
- Federazione Spagnola per la Malformazione di Chiari e Patologie Associate. Guida pratica. Disponibile su:http://www.femacpa.com/ficheros_noticias/boletin.compressed.pdf
- Rogers, J. M., Savage, G., & Stoodley, M. A. (2018). A Systematic Review of Cognition in Chiari I Malformation. Neuropsychology Review, 1-12.
- Baillieux, H., De Smet, H. J., Paquier, P. F., De Deyn, P. P., & Mariën, P. (2008). Cerebellar neurocognition: insights into the bottom of the brain. Clinical Neurology and Neurosurgery, 110(8), 763-773.
- Kalron, A., Allali, G., & Achiron, A. (2018). Cerebellum and cognition in multiple sclerosis: the fall status matters. Journal of Neurology, 265(4), 809-816.
- Baillieux, H., De Smet, H. J., Dobbeleir, A., Paquier, P. F., De Deyn, P. P., & Mariën, P. (2010). Cognitive and affective disturbances following focal cerebellar damage in adults: a neuropsychological and SPECT study. Cortex, 46(7), 869-879.
- Guell, X., Gabrieli, J. D., & Schmahmann, J. D. (2017). Embodied cognition and the cerebellum: perspectives from the dysmetria of thought and the universal cerebellar transform theories. Cortex.
- Van Overwalle, F., Baetens, K., Mariën, P., & Vandekerckhove, M. (2014). Social cognition and the cerebellum: a meta-analysis of over 350 fMRI studies. NeuroImage, 86, 554-572.
- Buckner, R. L. (2013). The cerebellum and cognitive function: 25 years of insight from anatomy and neuroimaging. Neuron, 80(3), 807-815.
- Sokolov, A. A., Miall, R. C., & Ivry, R. B. (2017). The cerebellum: adaptive prediction for movement and cognition. Trends in Cognitive Sciences, 21(5), 313-332.
- De Smet, H. J., Paquier, P., Verhoeven, J., & Mariën, P. (2013). The cerebellum: its role in language and related cognitive and affective functions. Brain and Language, 127(3), 334-342.
- Timmann, D., Drepper, J., Frings, M., Maschke, M., Richter, S., Gerwig, M. E. E. A., & Kolb, F. P. (2010). The human cerebellum contributes to motor, emotional and cognitive associative learning. A review. Cortex, 46(7), 845-857.
- Leggio, M. G., Chiricozzi, F. R., Clausi, S., Tedesco, A. M., & Molinari, M. (2011). The neuropsychological profile of cerebellar damage: the sequencing hypothesis. Cortex, 47(1), 137-144.
- Peterburs, J., & Desmond, J. E. (2016). The role of the human cerebellum in performance monitoring. Current Opinion in Neurobiology, 40, 38-44.
- Tirapu Ustárroz, J., Luna Lario, P., Iglesias Fernández, M. D., & Hernáez Goñi, P. (2011). Contributo del cervelletto ai processi cognitivi: sviluppi attuali. Rev Neurol, 301-315.
- Hernáez-Goñi, P., Tirapu-Ustárroz, J., Iglesias-Fernández, L., & Luna-Lario, P. (2010). Partecipazione del cervelletto alla regolazione dell’affetto, delle emozioni e del comportamento. Revista de Neurología, 51(10), 597-609.
- Van Overwalle, F., & Mariën, P. (2016). Functional connectivity between the cerebrum and cerebellum in social cognition: a multi-study analysis. NeuroImage, 124, 248-255.
- Maestú, F., Quesney-Molina, F., Ortiz-Alonso, T., Campo, P., Fernández-Lucas, A., & Amo, C. (2003). Cognizione e reti neurali: una nuova prospettiva dalla neuroimmagine funzionale. Rev Neurol, 37(10), 962-6.
- Dosenbach, N. U., Fair, D. A., Cohen, A. L., Schlaggar, B. L., & Petersen, S. E. (2008). A dual-networks architecture of top-down control. Trends in Cognitive Sciences, 12(3), 99-105.
- Pessoa, L. (2017). A network model of the emotional brain. Trends in Cognitive Sciences, 21(5), 357-371.
- van den Heuvel, M. P., & Pol, H. E. H. (2011). Esplorazione della rete cerebrale: una revisione della connettività funzionale nella RMf a riposo. Psiquiatría Biológica, 18(1), 28-41.
- Gratton, C., Nomura, E. M., Pérez, F., & D’Esposito, M. (2012). Focal brain lesions to critical locations cause widespread disruption of the modular organization of the brain. Journal of Cognitive Neuroscience, 24(6), 1275-1285.
- Price, C. J. (2018). The Evolution of Cognitive Models: From Neuropsychology to Neuroimaging and back. Cortex.







Paralisi cerebrale: comprendere e trattare una malattia complessa dello sviluppo neurologico.

Lascia un commento