O neuropsicólogo e pesquisador Ángel Martínez Nogueras explica neste artigo a Malformação de Chiari tipo I e expõe um caso clínico.
Antes de entrar para expor o caso clínico que nos ocupa hoje, descreverei brevemente em que consiste a Malformação de Chiari.
O que é a Malformação de Chiari?
Trata-se de uma malformação devida a um desenvolvimento incompleto da parte posteroinferior da base do crânio duração do período embrionário, que pode acompanhar-se de complicações como siringomielia e hidrocefalia.
A forma mais extrema consiste na hérniação de estruturas da porção mais baixa do cerebelo, amígdalas cerebelosas, e do tronco encefálico através do foramen magnum, de modo que algumas partes do cérebro atingem o canal espinal, engrossando-o e comprimindo-o.
Malformação de Chiari tipo I
A Malformação de Chiari pode ser classificada em 5 tipos diferentes, dos quais o tipo I é o mais frequente (1).
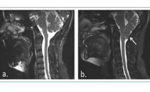
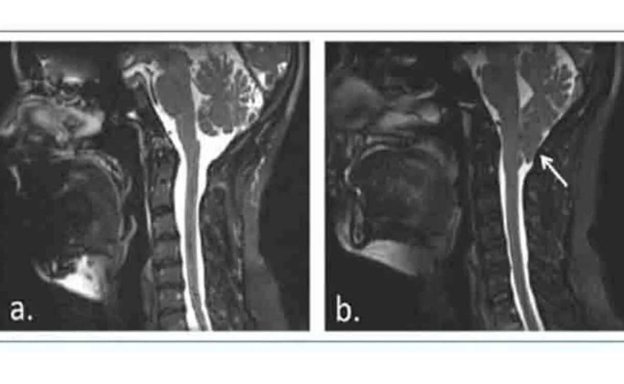
A Malformação de Chiari tipo I implica uma herniação caudal das amígdalas cerebelosas de aproximadamente 5 mm abaixo do foramen magnum, que geralmente não se acompanha de descida do tronco encefálico ou do quarto ventrículo nem de hidrocefalia, mas sim de siringomielia.
A siringomielia é causada pela formação de cavidades ou cistos (siringe ou syrinx) cheios de líquido dentro da medula espinhal, que podem expandir-se lentamente, causando um dano progressivo à medula espinhal e hipertensão intracraniana devido à pressão exercida por esse líquido.

Sintomas da Malformação de Chiari
Os sintomas associados à malformação de Chiari podem ser muito numerosos e variados, incluindo dificits motores, emocionais, cognitivos, sensitivos, sensoriais e disautonômicos.
Para não me alongar excessivamente nesta publicação remeto-os à bibliografia anexa onde podem ser revistos todos os possíveis sintomas e outros detalhes de Chiari. (2,3)

Inscreva-se
na nossa
Newsletter
Caso clínico de Malformação de Chiari tipo I
Menina diagnosticada com Malformação de Chiari tipo I, com siringomielia, submetida a cirurgia aos 12 anos de idade.
Após a intervenção cirúrgica procura um centro de neurorreabilitação para receber atenção especializada. Quando iniciamos o programa de neurorreabilitação tinha 13 anos e estava no 2º ESO, com necessidades específicas de apoio educativo.
Durante a Entrevista e elaboração da anamnese recolhe-se a seguinte informação:
- Conseguiu sedestação aos 6-7 meses.
- A deambulação aos 18-20 meses.
- Boa aquisição da linguagem.
- A família refere que desde o nascimento a veem desajeitada do ponto de vista motor, tanto na motricidade grossa como fina.
- Cai com frequência e tem um padrão de marcha instável.
- As tarefas manuais tais como desenhar, escrever, colorir, amarrar os cordões ou colocar a pasta no escova de dentes são muito difíceis para ela.
- Embora a escola tenha tido dificuldades desde sempre, nunca repetiu ano; não obstante, tem necessitado de apoio ou adaptações pontuais, como deixar-lhe mais tempo para fazer as tarefas diárias e os exames, ou realizar alguns exames tipo teste, devido à dificuldade na redação e na grafia.
- Também referem que se distraí com extrema facilidade e precisa de supervisão contínua para fazer qualquer tarefa, como vestir-se, escovar os dentes ou preparar a mochila da escola, e quando as realiza é extremamente lenta.
- Não apresenta problemas comportamentais nem em casa nem na escola que mereçam menção especial, além de aborrecimentos ou birras pontuais.
- No entanto, os pais constatam a presença de comportamentos autodirigidos como morder-se ou coçar-se até provocar feridas, mas apenas durante o período escolar; nas férias remitem.
- Apresenta dificuldades em criar e manter relações sociais, por vezes mostra uma atitude demasiado infantil, e sinais de certa imaturidade imprópria para a sua idade.
Avaliação motora
A avaliação motora revelou um quadro cerebelar com desequilíbrio, tandem inadequado, tremor cefálico, ataxia do tronco com balanço, tremor distal fino, dismetria e postura distônica mais acentuada na mão esquerda.
Avaliação neuropsicológica
No que se refere à avaliação neuropsicológica, após aplicar uma bateria abrangente de testes constatou-se:
- A menina encontrava-se bem orientada no tempo, espaço e pessoa.
- No que diz respeito aos processos atencionais, embora se observasse um défice moderado de atenção sustentada e seletiva, destacava-se a afetação da atenção alternada, juntamente com o abrandamento na velocidade de processamento da informação.
- Com respeito ao funcionamento executivo, apresentava déficit em vários subprocessos como o controlo inibitório, flexibilidade cognitiva, planejamento, e controlo e supervisão da conduta dirigida a metas. Observou-se dificuldade na resolução de problemas, tomada de decisões e no raciocínio abstrato.
- Apresentava uma capacidade adequada de memória imediata, embora esta não melhorasse com a repetição do material a recordar, isto é, a sua capacidade de aprendizagem era reduzida.
- Observou-se déficit de memória declarativa anterógrada a curto e longo prazo, com dificuldades em fixação, consolidação e codificação da informação, juntamente com perseverações na recordação livre e no reconhecimento da informação. Em parte, esse desempenho mnéstico pode ser explicado por défices em processos atencionais e executivos.
- No que toca à linguagem, destaca-se a dificuldade na compreensão leitora, juntamente com um vocabulário reduzido e défice na formação e manejo de conceitos verbais.
- Por fim, observaram-se déficits em habilidades visoespaciais, apraxia ideomotora, ideatória e construtiva, e dificuldades na realização de sequências motoras e coordenação bimanual.
- Além de tudo o anterior, observaram-se claras dificuldades na expressão e no reconhecimento das emoções tanto próprias como alheias, junto com uma notável falta de empatia e de habilidades sociais.
Melhoras após um ano de reabilitação neuropsicológica
Após um ano de reabilitação neuropsicológica, um dia por semana, produziram-se melhoras em todas as funções cognitivas, sobretudo em memória e aprendizagem, onde ela rende a um nível adequado segundo a sua idade.
Essa melhora refletiu-se no desempenho escolar da menina, ganhando autonomia na hora do estudo em casa e em rendimento nas tarefas e exames.
Podemos explicar os défices cognitivos em pacientes com comprometimento do cerebelo?
Para concluir, e tentar dar sentido a este caso clínico, podemos explicar os défices cognitivos em pacientes com comprometimento do cerebelo? Pois claro.
Embora a Malformação de Chiari continue a ser considerada uma entidade clínica que cursa principalmente com déficits motores, há cada vez mais publicações científicas que confirmam o que já suspeitávamos sobre esta malformação, e sobre qualquer patologia que afete o cerebelo, ou seja, que muito provavelmente cursará com déficits cognitivos (4).
A bibliografia disponível a respeito é clara. O cerebelo participa em múltiplos processos e funções como atenção, aprendizagem, memória, funções executivas, habilidades visoespaciais, linguagem, e regulação afetiva, comportamental e social. Deixo aqui uma série de artigos onde se pode rever amplamente as funções em que o cerebelo participa (5,6,7,8,9,10,11,12,13,14,15,16,17,18).
Mas não é só que o cerebelo participa em processos cognitivos, é que faz parte de redes cerebrais funcionais, que são o verdadeiro sustentáculo da cognição (19). A título de exemplo, deixo uma imagem retirada de um artigo, já clássico, de Dosenbach e colaboradores de 2008 (20), que mostra de forma muito didática como o cerebelo se encaixa em redes cerebrais funcionais de controlo atencional ou executivo.

Devemos ter em conta que a corrente dominante na neurociência atual, e que devemos incorporar em nosso ideário como neuropsicólogos, é que o cérebro funciona com base em redes funcionais amplamente distribuídas, flexíveis e adaptáveis à tarefa em curso (21,22), onde a lesão de um de seus componentes pode desencadear a disfunção da rede completa (23).
Portanto, e à luz de todos esses dados, devemos abandonar a noção tradicional que nos fazia prever défices concretos associados a uma lesão cerebral focal, e dirigir-nos, inevitavelmente, a uma mudança de perspectiva na avaliação e reabilitação neuropsicológica(24).
Bibliografia
- Federação Espanhola de Malformação de Chiari e Patologias Associadas. DOSSIER MC (MALFORMAÇÃO de CHIARI). Disponível en:http://www.femacpa.com/index.asp?iden=11
- Documento de consenso. Malformações da unión crânio-cervical (Chiari tipo I e siringomielia). Disponível en:http://www.sen.es/pdf/2010/Consenso_Chiari_2010.pdf
- Federação Espanhola de Malformação de Chiari e Patologias Associadas. Guia prática.Disponível en:http://www.femacpa.com/ficheros_noticias/boletin.compressed.pdf
- Rogers, J. M., Savage, G., &Stoodley, M. A. (2018). A Systematic Review of Cognition in Chiari I Malformation. Neuropsychology review, 1-12.
- Baillieux, H., De Smet, H. J., Paquier, P. F., De Deyn, P. P., &Mariën, P. (2008). Cerebellar neurocognition: insights into the bottom of the brain. Clinical neurology and neurosurgery, 110(8), 763-773.
- Kalron, A., Allali, G., & Achiron, A. (2018). Cerebellum and cognition in multiple sclerosis: the fall status matters. Journal of neurology, 265(4), 809-816.
- Baillieux, H., De Smet, H. J., Dobbeleir, A., Paquier, P. F., De Deyn, P. P., &Mariën, P. (2010). Cognitive and affective disturbances following focal cerebellar damage in adults: a neuropsychological and SPECT study. Cortex, 46(7), 869-879.
- Guell, X., Gabrieli, J. D., &Schmahmann, J. D. (2017). Embodied cognition and the cerebellum: perspectives from the dysmetria of thought and the universal cerebellar transform theories. Cortex.
- Van Overwalle, F., Baetens, K., Mariën, P., &Vandekerckhove, M. (2014). Social cognition and the cerebellum: a meta-analysis of over 350 fMRI studies. Neuroimage, 86, 554-572.
- Buckner, R. L. (2013). The cerebellum and cognitive function: 25 years of insight from anatomy and neuroimaging. Neuron, 80(3), 807-815.
- Sokolov, A. A., Miall, R. C., &Ivry, R. B. (2017). The cerebellum: adaptive prediction for movement and cognition. Trends in cognitive sciences, 21(5), 313-332.
- De Smet, H. J., Paquier, P., Verhoeven, J., &Mariën, P. (2013). The cerebellum: its role in language and related cognitive and affective functions. Brain and language, 127(3), 334-342.
- Timmann, D., Drepper, J., Frings, M., Maschke, M., Richter, S., Gerwig, M. E. E. A., & Kolb, F. P. (2010). The human cerebellum contributes to motor, emotional and cognitive associative learning. A review. Cortex, 46(7), 845-857.
- Leggio, M. G., Chiricozzi, F. R., Clausi, S., Tedesco, A. M., &Molinari, M. (2011). The neuropsychological profile of cerebellar damage: the sequencing hypothesis. cortex, 47(1), 137-144.
- Peterburs, J., & Desmond, J. E. (2016). The role of the human cerebellum in performance monitoring. Currentopinion in neurobiology, 40, 38-44.
- Tirapu Ustárroz, J., Luna Lario, P., Iglesias Fernández, M. D., & Hernáez Goñi, P. (2011). Contribuição do cerebelo aos processos cognitivos: avanços atuais. Rev Neurol, 301-315.
- Hernáez-Goñi, P., Tirapu-Ustárroz, J., Iglesias-Fernández, L., & Luna-Lario, P. (2010). Participação do cerebelo na regulação do afeto, da emoção e do comportamento. Revista de neurología, 51(10), 597-609.
- Van Overwalle, F., &Mariën, P. (2016). Functional connectivity between the cerebrum and cerebellum in social cognition: a multi-study analysis. NeuroImage, 124, 248-255.
- Maestú, F., Quesney-Molina, F., Ortiz-Alonso, T., Campo, P., Fernández-Lucas, A., & Amo, C. (2003). Cognição e redes neurais: uma nova perspectiva a partir da neuroimagem funcional. Rev Neurol, 37(10), 962-6.
- Dosenbach, N. U., Fair, D. A., Cohen, A. L., Schlaggar, B. L., & Petersen, S. E. (2008). A dual-networks architecture of top-down control. Trends in cognitive sciences, 12(3), 99-105.
- Pessoa, L. (2017). A network model of the emotional brain. Trends in cognitive sciences, 21(5), 357-371.
- van den Heuvel, M. P., & Pol, H. E. H. (2011). Exploração da rede cerebral: uma revisão da conectividade funcional na RMf em estado de repouso. Psiquiatria biológica, 18(1), 28-41.
- Gratton, C., Nomura, E. M., Pérez, F., &D’Esposito, M. (2012). Focal brain lesions to critical locations cause widespread disruption of the modular organization of the brain. Journal of cognitive neuroscience, 24(6), 1275-1285.
- Price, C. J. (2018). The Evolution of Cognitive Models: From Neuropsychology to Neuroimaging and back. Cortex.








Deixe um comentário