O neuropsicólogo e pesquisador Ángel Martínez Nogueras explica neste artigo a Malformação de Chiari tipo I e apresenta um caso clínico.
Antes de expor o caso clínico que nos ocupa hoje, descreverei brevemente em que consiste a Malformação de Chiari.
O que é a Malformação de Chiari?
Trata-se de uma malformação devida a um desenvolvimento incompleto da parte posteroinferior da base do crânio durante o período embrionário, que pode vir acompanhada de complicações como siringomielia e hidrocefalia.
A forma mais extrema consiste na hérniação de estruturas da porção mais baixa do cerebelo, amígdalas cerebelosas, e do tronco encefálico através do forame magno, de modo que algumas partes do cérebro atingem o canal espinhal, espessando-o e comprimindo-o.
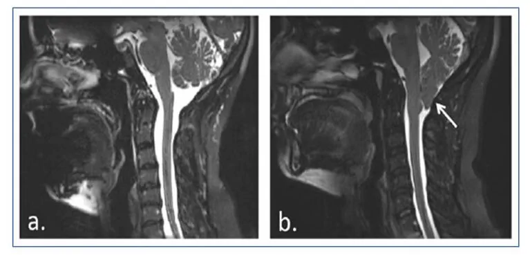
Malformação de Chiari tipo I
A Malformação de Chiari pode ser classificada em 5 tipos diferentes, dos quais o tipo I é o mais frequente (1).
A Malformação de Chiari tipo I implica uma hérniação caudal das amígdalas cerebelosas de aproximadamente 5 mm abaixo do forame magno, que geralmente não vem acompanhada de descenso do tronco encefálico ou do quarto ventrículo nem de hidrocefalia, mas sim de siringomielia.
A siringomielia é causada pela formação de cavidades ou cistos (siringe ou syrinx) cheios de líquido dentro da medula espinhal, que podem expandir-se lentamente, causando um dano progressivo à medula espinhal e hipertensão intracraniana devido à pressão exercida por esse líquido.

Sintomas da Malformação de Chiari
Os sintomas associados à malformação de Chiari podem ser muito numerosos e variados, incluindo déficits motores, emocionais, cognitivos, sensitivos, sensoriais e disautonômicos.
Para não estender excessivamente esta publicação, remeto vocês à bibliografia anexada, onde podem ser revisados todos os possíveis sintomas e outros detalhes sobre Chiari (2,3).

Inscreva-se
na nossa
Newsletter
Caso clínico de Malformação de Chiari tipo I
Menina diagnosticada com Malformação de Chiari tipo I, com siringomielia, submetida a intervenção cirúrgica aos 12 anos de idade.
Após a intervenção cirúrgica, ela procura um centro de neurorreabilitação para receber atendimento especializado. Quando iniciamos o programa de neurorreabilitação, ela tinha 13 anos e cursava o 2º ano do ensino fundamental, com necessidades específicas de apoio educacional.
Durante a entrevista e elaboração da anamnese, foram coletadas as seguintes informações:
- Consegue sentar-se aos 6-7 meses.
- Começou a deambular aos 18-20 meses.
- Boa aquisição da linguagem.
- A família relata que desde o nascimento a vê desajeitada do ponto de vista motor, tanto na coordenação grossa quanto fina.
- Ela cai frequentemente e apresenta um padrão de marcha instável.
- As tarefas manuais como desenhar, escrever, colorir, amarrar os cadarços ou colocar o creme dental na escova de dentes lhe são muito difíceis.
- Embora a escola tenha encontrado dificuldades desde sempre, ela nunca repetiu de ano; no entanto, precisou de apoio ou adaptação em situações pontuais, como conceder-lhe mais tempo para realizar as tarefas diárias e provas, ou aplicar alguns testes de múltipla escolha, devido à dificuldade na redação e na caligrafia.
- Também relatam que ela se distrai com extrema facilidade e precisa de supervisão contínua para realizar qualquer tarefa, como vestir-se, escovar os dentes ou preparar a mochila para a aula, e quando as realiza é extremamente lenta.
- Não apresenta problemas comportamentais em casa ou na escola que exijam menção especial, além de irritações ou birras pontuais.
- No entanto, os pais constatam a presença de comportamentos autolesivos como morder-se ou coçar-se até ferir-se, mas apenas durante o período escolar; nas férias, esses comportamentos cessam.
- Apresenta dificuldades para criar e manter relações sociais, às vezes demonstra uma atitude demasiado infantil e sinais de certa imaturidade imprópria para sua idade.
Avaliação motora
A avaliação motora revelou um quadro cerebelar com desequilíbrio, tandem inadequado, tremor cefálico, ataxia de tronco com balanço, tremor distal fino, dismetria e postura distônica mais acentuada na mão esquerda.
Avaliação neuropsicológica
Quanto à avaliação neuropsicológica, após realizar uma bateria abrangente de testes, verificou-se:
- A menina encontrava-se bem orientada no tempo, espaço e pessoa.
- No que diz respeito aos processos atencionais, embora tenha sido observado um déficit moderado de atenção sustentada e seletiva, destacava-se a afetação da atenção alternante, juntamente com o retardamento na velocidade de processamento da informação.
- Com relação ao funcionamento executivo, apresentava déficit em vários subprocessos como o controle inibitório, flexibilidade cognitiva, planejamento, e controle e supervisão da conduta orientada para metas. Observou-se dificuldade na resolução de problemas, na tomada de decisões e no raciocínio abstrato.
- Apresentava uma capacidade adequada de memória imediata, embora esta não melhorasse com a repetição do material a ser lembrado, ou seja, sua capacidade de aprendizado era reduzida.
- Observou-se déficit de memória declarativa anterógrada de curto e longo prazo, com dificuldades na fixação, consolidação e codificação da informação, juntamente com perseverações na recordação livre e no reconhecimento da informação. Em parte, esse desempenho mnéstico pode ser explicado por déficit em processos atencionais e executivos.
- Quanto à linguagem, destaca-se a dificuldade na compreensão leitora, juntamente com vocabulário reduzido e déficit na formação e no manejo de conceitos verbais.
- Por fim, observaram-se déficits em habilidades visuoespaciais, apraxia ideomotora, ideatória e construtiva, e dificuldades na realização de sequências motoras e na coordenação bimanual.
- Além de tudo isso, observaram-se claras dificuldades na expressão e no reconhecimento de emoções, tanto próprias quanto de terceiros, juntamente com uma notável falta de empatia e de habilidades sociais.
Melhorias após um ano de reabilitação neuropsicológica
Após um ano de reabilitação neuropsicológica, um dia por semana, ocorreram melhorias em todas as funções cognitivas, sobretudo em memória e aprendizado, nas quais ela apresenta desempenho adequado para sua idade.
Essa melhora refletiu-se no desempenho escolar da menina, com ganho de autonomia ao estudar em casa e maior rendimento em tarefas e exames.
Podemos explicar os déficits cognitivos em pacientes com comprometimento do cerebelo?
Para concluir e tentar dar sentido a este caso clínico, podemos explicar os déficits cognitivos em pacientes com comprometimento do cerebelo? Claro que sim.
Embora a Malformação de Chiari continue sendo considerada uma entidade clínica que cursa principalmente com déficits motores, há cada vez mais publicações científicas que confirmam o que já suspeitávamos sobre essa malformação, e sobre qualquer patologia que afete o cerebelo, isto é, que muito provavelmente cursará com déficits cognitivos (4).
A bibliografia disponível a esse respeito é clara. O cerebelo participa de múltiplos processos e funções como atenção, aprendizado, memória, funções executivas, habilidades visuoespaciais, linguagem e regulação afetiva, comportamental e social. Deixo-vos uma série de artigos onde podem revisar amplamente as funções nas quais o cerebelo participa (5,6,7,8,9,10,11,12,13,14,15,16,17,18).
Mas não é apenas que o cerebelo participe de processos cognitivos; ele faz parte de redes cerebrais funcionais, que são o verdadeiro suporte da cognição (19). A título de exemplo, deixo-vos uma imagem retirada de um artigo, já clássico, de Dosenbach e colaboradores de 2008 (20), que mostra de forma bem didática como o cerebelo se encaixa em redes cerebrais funcionais de controle atencional ou executivo.

Devemos ter em conta que a corrente dominante na neurociência atual, e que devemos incorporar ao nosso ideário como neuropsicólogos, é que o cérebro funciona com base em redes funcionais amplamente distribuídas, flexíveis e adaptáveis à tarefa em curso (21,22), onde a lesão de um de seus componentes pode desencadear a disfunção de toda a rede (23).
Portanto, à luz de todos esses dados, devemos abandonar a noção tradicional que nos fazia prever déficits concretos associados a um dano cerebral focal e dirigir-nos, inevitavelmente, a uma mudança de perspectiva na avaliação e reabilitação neuropsicológica (24).
Bibliografia
- Federação Espanhola de Malformação de Chiari e Patologias Associadas. DOSSIER MC (MALFORMAÇÃO de CHIARI). Disponível em: http://www.femacpa.com/index.asp?iden=11
- Documento de consenso. Malformações da união crânio-cervical (Chiari tipo I e siringomielia). Disponível em: http://www.sen.es/pdf/2010/Consenso_Chiari_2010.pdf
- Federação Espanhola de Malformação de Chiari e Patologias Associadas. Guia prática. Disponível em: http://www.femacpa.com/ficheros_noticias/boletin.compressed.pdf
- Rogers, J. M., Savage, G., &Stoodley, M. A. (2018). A Systematic Review of Cognition in Chiari I Malformation. Neuropsychology review, 1-12.
- Baillieux, H., De Smet, H. J., Paquier, P. F., De Deyn, P. P., &Mariën, P. (2008). Cerebellar neurocognition: insights into the bottom of the brain. Clinical neurology and neurosurgery, 110(8), 763-773.
- Kalron, A., Allali, G., & Achiron, A. (2018). Cerebellum and cognition in multiple sclerosis: the fall status matters. Journal of neurology, 265(4), 809-816.
- Baillieux, H., De Smet, H. J., Dobbeleir, A., Paquier, P. F., De Deyn, P. P., &Mariën, P. (2010). Cognitive and affective disturbances following focal cerebellar damage in adults: a neuropsychological and SPECT study. Cortex, 46(7), 869-879.
- Guell, X., Gabrieli, J. D., &Schmahmann, J. D. (2017). Embodied cognition and the cerebellum: perspectives from the dysmetria of thought and the universal cerebellar transform theories. Cortex.
- Van Overwalle, F., Baetens, K., Mariën, P., &Vandekerckhove, M. (2014). Social cognition and the cerebellum: a meta-analysis of over 350 fMRI studies. Neuroimage, 86, 554-572.
- Buckner, R. L. (2013). The cerebellum and cognitive function: 25 years of insight from anatomy and neuroimaging. Neuron, 80(3), 807-815.
- Sokolov, A. A., Miall, R. C., &Ivry, R. B. (2017). The cerebellum: adaptive prediction for movement and cognition. Trends in cognitive sciences, 21(5), 313-332.
- De Smet, H. J., Paquier, P., Verhoeven, J., &Mariën, P. (2013). The cerebellum: its role in language and related cognitive and affective functions. Brain and language, 127(3), 334-342.
- Timmann, D., Drepper, J., Frings, M., Maschke, M., Richter, S., Gerwig, M. E. E. A., & Kolb, F. P. (2010). The human cerebellum contributes to motor, emotional and cognitive associative learning. A review. Cortex, 46(7), 845-857.
- Leggio, M. G., Chiricozzi, F. R., Clausi, S., Tedesco, A. M., &Molinari, M. (2011). The neuropsychological profile of cerebellar damage: the sequencing hypothesis. Cortex, 47(1), 137-144.
- Peterburs, J., & Desmond, J. E. (2016). The role of the human cerebellum in performance monitoring. Current opinion in neurobiology, 40, 38-44.
- Tirapu Ustárroz, J., Luna Lario, P., Iglesias Fernández, M. D., & Hernáez Goñi, P. (2011). Contribuição do cerebelo aos processos cognitivos: avanços atuais. Rev Neurol, 301-315.
- Hernáez-Goñi, P., Tirapu-Ustárroz, J., Iglesias-Fernández, L., & Luna-Lario, P. (2010). Participação do cerebelo na regulação do afeto, a emoção e a conduta. Revista de neurología, 51(10), 597-609.
- Van Overwalle, F., &Mariën, P. (2016). Functional connectivity between the cerebrum and cerebellum in social cognition: a multi-study analysis. NeuroImage, 124, 248-255.
- Maestú, F., Quesney-Molina, F., Ortiz-Alonso, T., Campo, P., Fernández-Lucas, A., & Amo, C. (2003). Cognição e redes neurais: uma nova perspectiva a partir da neuroimagem funcional. Rev Neurol, 37(10), 962-6.
- Dosenbach, N. U., Fair, D. A., Cohen, A. L., Schlaggar, B. L., & Petersen, S. E. (2008). A dual-networks architecture of top-down control. Trends in cognitive sciences, 12(3), 99-105.
- Pessoa, L. (2017). A network model of the emotional brain. Trends in cognitive sciences, 21(5), 357-371.
- van den Heuvel, M. P., & Pol, H. E. H. (2011). Exploração da rede cerebral: uma revisão da conectividade funcional na RMf em estado de repouso. Psiquiatria biológica, 18(1), 28-41.
- Gratton, C., Nomura, E. M., Pérez, F., &D’Esposito, M. (2012). Focal brain lesions to critical locations cause widespread disruption of the modular organization of the brain. Journal of cognitive neuroscience, 24(6), 1275-1285.
- Price, C. J. (2018). The Evolution of Cognitive Models: From Neuropsychology to Neuroimaging and back. Cortex.







Paralisia cerebral: compreender e tratar uma doença complexa do neurodesenvolvimento
Deixe um comentário